SPCA New Zealand

Open your home for a short time and help a dog, small or farm animal get ready for their forever home. We support you all the way. Give them a winter worth remembering & sign up to foster.

Find out more

SPCA prosecution: man jailed for beating his dog

06 March 2019
SPCA prosecution: man jailed for beating his dog

A man has been prosecuted by SPCA and jailed for breaking his dog’s leg, and failing to seek veterinary assistance after doing so.

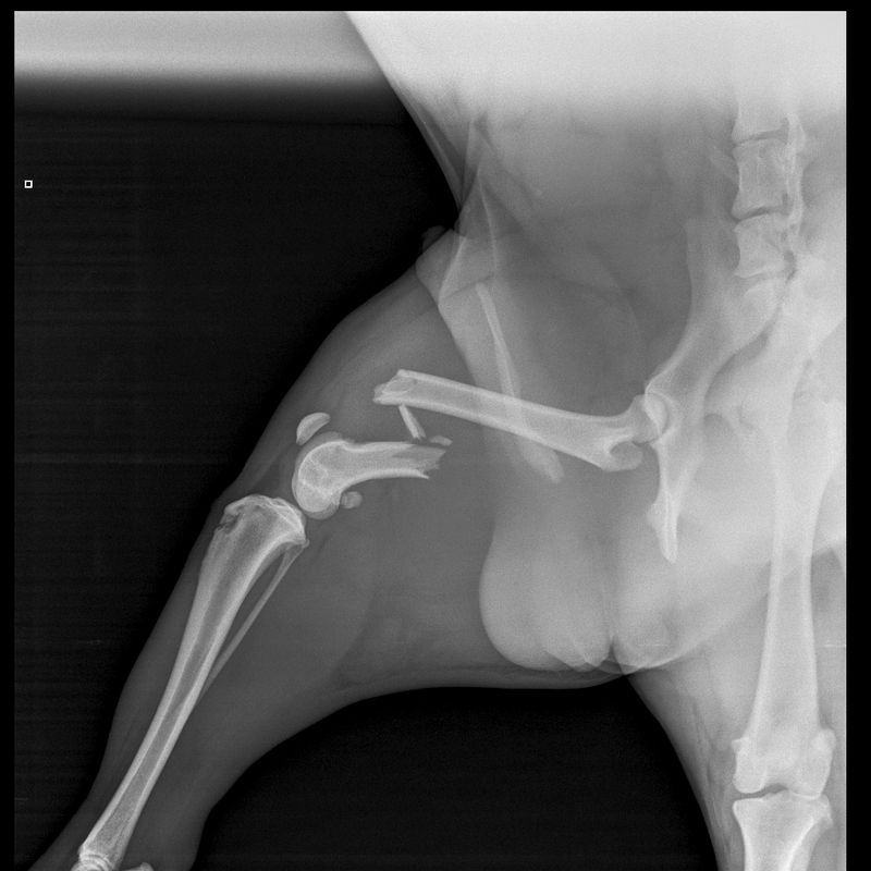
A man has been prosecuted by SPCA and jailed for 12 months for beating his dog Rocka and breaking his leg.

The case began in November 2017 when the defendant let Rocka get out from his property. Rocka and a second dog subsequently attacked livestock at a nearby property.

Upon catching Rocka back at his property, the defendant attacked Rocka by punching, kicking, and slamming him to the ground, breaking his leg. A witness attempted to intervene but the offender continued the attack.

That same day, the defendant went to his father’s house where he was advised to provide veterinary treatment but he didn’t act on the advice. The next day, he again went to his father’s house and was told to take Rocka to a vet. He chose to ignore this advice for a second time.

SPCA Inspectors visited the defendant and he provided false information about Rocka, telling them that he had euthanised him. He eventually admitted that Rocka was in his vehicle, injured and had not received veterinary treatment. Inspectors saw that Rocka’s right hind leg was obviously and extremely swollen, and Rocka wasn’t placing weight on it. Rocka was surrendered into the care of SPCA.

The veterinarian who examined Rocka confirmed a broken femur and said he would have suffered severe pain at the time of the fracture, up until he was treated by a vet. Unfortunately, due to the extent of his injuries, Rocka was euthanised.

“This type of offending is particularly horrific as the offender not only violently attacked his own animal, he failed to provide critical medical care after the fact, and lied about it to authorities, leading to a huge amount of suffering for Rocka,” says Andrea Midgen, SPCA CEO.

“We are pleased that the court has recognised the significant pain and distress and extreme violence in this case, and this is reflected in the imprisonment sentence handed down. Let this be a warning: anyone who treats their animals in such a way will be prosecuted by SPCA to the full extent of the law.”

Hello! Choose your nearest SPCA Centre and see content specific to your location:
Hit enter to submit