SPCA New Zealand

Open your home for a short time and help a dog, small or farm animal get ready for their forever home. We support you all the way. Give them a winter worth remembering & sign up to foster.

Find out more

Frog and Olive's fated friendship

01 November 2024

These two pygmy goats found each other through some very lucky timing – but getting there wasn't an easy road.

Frog and Olive's fated friendship

At SPCA, we’ve seen concrete proof of the power of friendship – in the form of Frog and Olive, two pygmy goats who recently found a home together through our Māngere Centre.

Their lives didn’t start together, but a trick of timing led to their fateful meeting in our paddocks. Olive became a source of desperately needed comfort and friendship for Frog, who had a long journey back to health. This is their story.

Frog's arrival

Frog was found by Bry, one of our SPCA Inspectors, tied to a wheel with a tether wrapped tightly around her back leg. Her limb was swollen, and she was without shelter or water. Bry jumped into action; she immediately took Frog into SPCA care and brought her to our Māngere Centre.

Frog when she was found by Inspector Bry.
Frog when she was found by Inspector Bry.

Upon her arrival, Farm Attendant Zoe tells us that Frog was very fearful of all humans – the team suspected that she'd had very limited positive handling experiences in her life, if any. They also noted that her front leg looked to have a healed fracture, but she didn’t seem to be in any pain. Our teams monitored this closely over these first days, and noted that her movement seemed to be limited.

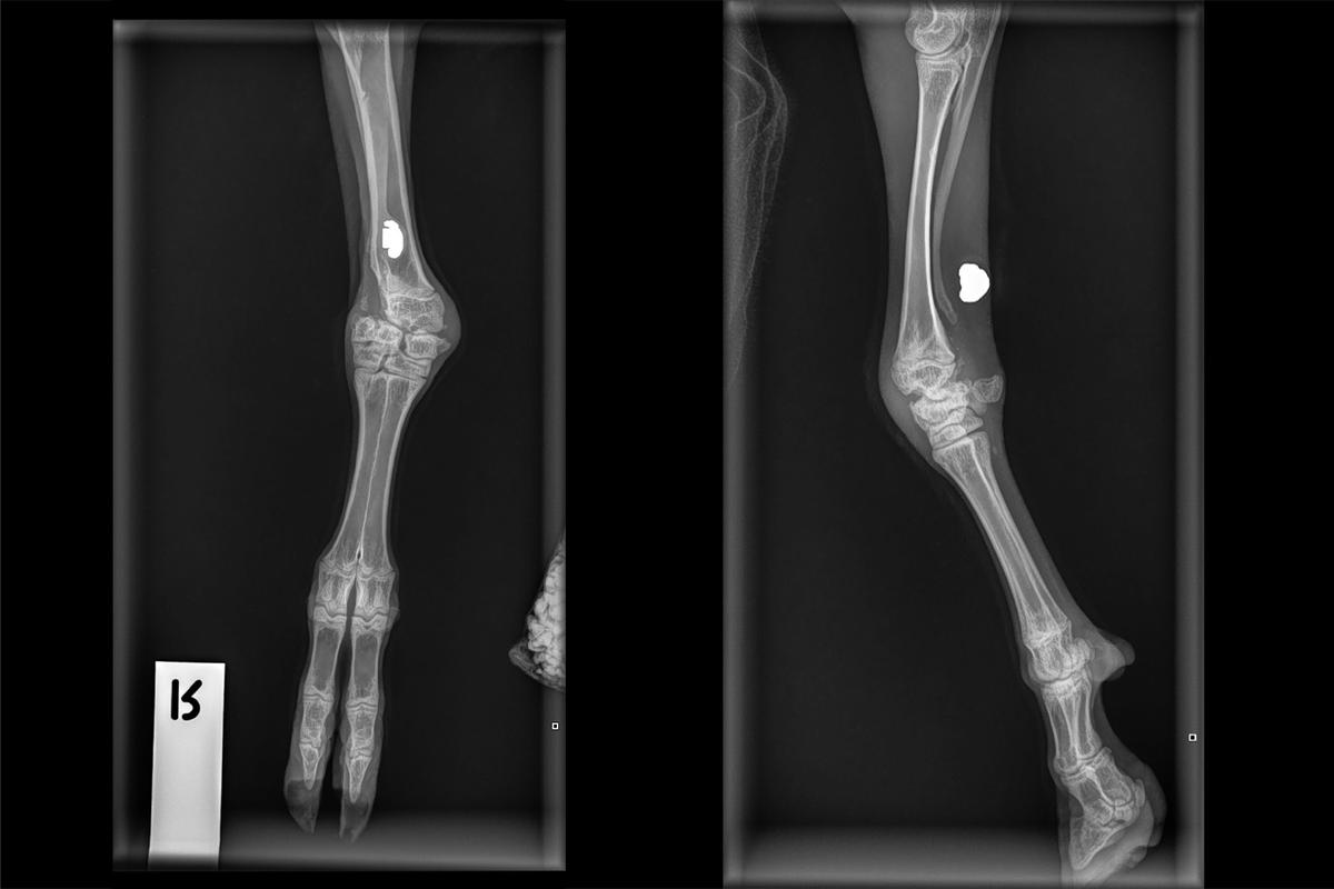
As a result, our vets obtained some x-rays of Frog’s front leg – and found quite a surprise. There was a bullet in her leg that had never been removed, and the limb had healed around it. There was no evidence of any previous vet treatment to address her injury.

Frog's x-rays, showing the bullet in her leg.
Frog's x-rays, showing the bullet in her leg.

While Frog still had mobility and wasn’t in any pain, the long-term prognosis for her injury was debilitation of the joint, and eventual loss of function. Since she was such a small goat and would not grow much bigger, the team decided that amputation would be the best course of action for her. Frog began her journey of rehabilitation and recovery, learning how to get around on three legs.

Frog in recovery, with her adorable cast made by the Farm team.
Frog after the removal of her cast.
Frog after the removal of her cast.

Olive's journey to SPCA

As Frog was recovering, Bry found Olive tethered on a property without shelter or water. She appeared lethargic and was sitting in her own faeces. Bry took her into SPCA possession, and Olive’s owners made the decision to formally surrender her some days later.

Olive when she was found.
Olive when she was found.

Upon assessment, our vet team discovered that Olive had a parasite infection, which was causing her to suffer from lethargy and scouring. They immediately got to work getting her better.

Olive in one of our Centre paddocks, enjoying her new life.
Olive in one of our Centre paddocks, enjoying her new life.

Frog and Olive, together

Meanwhile, Frog was recovering well and had made a close friend in lamb Oslo, who also had a fractured leg. The two were penned next to one another and would cry out when the other left for any reason, like medicating or weighing. While adorable, the team knew the friendship couldn’t last forever – Oslo was very playful, and due to Frog’s pygmy size, he would grow to be about five times as big.

Oslo recovered quickly and found a forever home, while Frog still had a long way to go – more surgeries and recovery periods were in her future. Luckily, upon Oslo’s departure, a new best friend arrived for Frog just in time.

Frog and Olive bonded quickly, becoming fast friends.
Frog and Olive bonded quickly, becoming fast friends.

Frog and Olive quickly formed a strong bond. Olive supported Frog through her recovery, staying by her side and ensuring she wouldn’t be alone. She even helped her gain confidence with humans – unlike Frog, Olive loved interacting with the Centre team, and helped show her friend that humans aren’t so bad after all!

Olive stayed by Frog's side, helping her become more comfortable with everyday life.
Olive stayed by Frog's side, helping her become more comfortable with everyday life.

With Olive leading the way, Frog learned how to climb and entertain herself by running through little gaps in the Centre fences. She was learning how to play again, with her best friend at her side.

Frog learned to hop and climb with Olive's help.
Frog learned to hop and climb with Olive's help.

It’s not often that two pygmy goats are in SPCA care at the same time, but these two were clearly fated to find one another. They make an amazing pair – and have now gone on to their forever home, to leap and play together for the rest of their lives. And we couldn’t be happier for them!

Hello! Choose your nearest SPCA Centre and see content specific to your location:
Hit enter to submit